![]() |
Embarazo gemelar bicorial, uno con mola completa y el otro con feto vivo con displasia septo-óptica La gestación gemelar bicorial uno con transformación molar completa y el otro con feto vivo, es un caso extremadamente raro. |
![]() |
Embarazo ectópico en cicatriz de cesárea previa El embarazo localizado dentro de una cicatriz de cesárea previa es el menos frecuente de los embarazos ectópicos y no existe un tratamiento estándar. |
![]() |
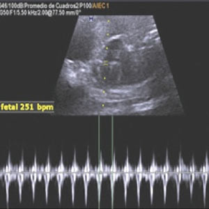
Ecocardiografía fetal: situación actual de diagnóstico en el Hospital Obrero N° 2, CNS Las cardiopatías congénitas constituyen las malformaciones fetales más frecuentes, con una incidencia mundial de 6 a 8 por mil nacidos vivos y 27 por mil nacidos muertos. |
![]() |
Síndrome de Prune Belly: diagnóstico y manejo pre y posnatal. Presentación de dos casos El síndrome de Prune Belly es una anomalía congénita rara, caracterizada por presentar: hipoplasia de músculos de pared abdominal, anomalía del tracto urinario y criptorquidia bilateral, el cuadro clínico que desencadena en el recién nacido es variable, dependiendo sobre todo del grado de alteración del sistema urinario. |
![]() |
Sirenomelia, presentación de un caso clínico y revisión de la literatura La sirenomelia constituye una anomalía congénita infrecuente, cuya característica principal es la fusión de las extremidades inferiores; la etiología es aún desconocida, sin embargo existen varias teorías planteadas para determinar el origen de esta entidad rara. |
![]() |
Valor diagnóstico de la ecografía y la mamografía en la detección de neoplasias de mama en pacientes mujeres del Hospital Obrero N°2 de la Caja Nacional de Salud durante el período 2008 a 2010. |
![]() |
Diagnóstico prequirúrgico de cuerpos extraños en abdomen: presentación de tres casos Los cuerpos extraños constituyen un grupo de pseudotumores causados por material quirúrgico no absorbible y sin ningún efecto terapéutico olvidados en el acto quirúrgico, que, puede ocasionar un grave problema de morbimortalidad y derivar en un problema médico legal. |
![]() |
DIAGNOSTICO DE LESIONES POLIPOIDEAS DE LA CAVIDAD UTERINA Y EXCERESIS DIRIGIDA: PAPEL DE LA HISTEROSONOGRAFIA El diagnóstico de lesiones polipoideas de la cavidad uterina ha pasado por varias etapas. Con el advenimiento de métodos mas sensibles como la histeroscopía la histerosonografía se ha constatado que la presencia de los pólipos endometriales es mucho mayor. |
| Diagnóstico y manejo de sindrome de brida amniótica Freddy Maita Q, Jhasmine Ramallo U. |
|
| Sirenomelia, presentación de un caso clínico y revisión de la literatura Freddy Maita Quispe, William Zegarra Santiesteba, Sindy Vanessa Panozo Borda, Boris Jorge Castillo Yujra, René Igoor Herbas Bernal |
|
| Valor diagnóstico de la ecografía y la mamografía en pacientes con neoplasias de mama del Hospital Obrero N°2 de la Caja Nacional de Salud Valoración diagnóstica de la ecografía y mamografía Freddy Maita Quispe, José Luis Llanos Fernandez, Sindy Vanessa Panozo Borda, Luis Muñoz Galindo, Carlos Gutiérrez Flores, William Zegarra Santiesteban |
|
| Diagnóstico prequirúrgico de cuerpos extraños en abdomen: presentación de tres casos Cuerpos extraños en abdomen Freddy Maita Quispe, Franz Ávalos Salaza, Sindy Vanessa Panozo Borda |
|
| Tratamiento conservador del embarazo ectópico en cicatriz de cesárea previa: reporte de un caso clínico Embarazo ectópico en cicatriz de cesárea previa Freddy Maita Q., Erwin Hochstatter A., Gaby Céspedes D., Danitza Gandarillas T. |







